TAG
GIGI
-
Gigi Kuning dan Bau Mulut? Tuntaskan Saja Dengan Resep Sederhana Ini
Resep di bawah ini dijamin murah serta gampang dibuat. Tidak cuma bakal memutihkan gigi Anda, resep ini dapat juga menyingkirkan bau mulut, plak serta
Minggu, 18 Desember 2016 -
HMJ Keperawatan Gigi Poltekkes Palembang mengadakan Seminar Deteksi Karies
Usaha Peningkatan Kualitas Perawat Gigi dalam upaya Preventif pada Masyarakat” di Ballroom Hotel S-One Palembang, Sabtu (17/12).
Sabtu, 17 Desember 2016 -
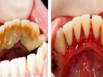
Ini Dia Cara Baru Hilangkan Karang Gigi
Konsumsi keju. Konsumsilah keju Swiss atau cheddar sebelum makan, hal tersebut akan membantu menetralkan asam penyebab karang gigi.
Minggu, 11 Desember 2016 -
Memutihkan Gigi Cuma Dalam Tiga Menit
Dengan pasta gigi alami yang bisa Anda buat sendiri ini, Anda bisa tersenyum lebar dengan penuh percaya diri. T
Kamis, 8 Desember 2016 -
Ini Dia Cara Mudah Basmi Karang Gigi Mudah dan Murah
Cara Mudah Hilangkan Karang Gigi Tanpa Harus ke Dokter dengan menggunakan bahan alami, murah, dan sederhana
Rabu, 7 Desember 2016 -
PDGI Muaraenim Gelar Bakti Sosial
Ratusan masyarakat di tiga desa di kecamatan Muaraenim tampak antusias mengikuti kegiatan bakti sosial yang digelar oleh Persatuan Dokter Gigi Indone
Minggu, 4 Desember 2016 -
Inilah Cara Mudah Basmi Karang Gigi Mudah dan Murah
Cara Mudah Hilangkan Karang Gigi Tanpa Harus ke Dokter dengan menggunakan bahan alami, murah, dan sederhana
Selasa, 22 November 2016 -
Jarang ke Dokter Gigi Bisa Sebabkan Keriput
Ketika terjadi masalah pada kulit, dermatolog telah menjadi tempat pertama yang dituju oleh wanita.
Minggu, 13 November 2016 -
Ini Dia Cara Alami Tumbuhkan Gigi Yang Sudah Terlanjur Ompong Hanya dalam 9 Minggu
Tekhnologi moderen itu memberi kita peluang untuk menumbuhkan gigi kita sendiri cuma kurun waktu 9 minggu saja.
Jumat, 11 November 2016 -
Ini Dia Cara Hilangkan Karang Gigi di Rumah
Untuk menghilangkan karang gigi, kebanyakan orang akan pergi ke dokter, tetapi sebenarnya, Anda juga dapat melakukan prosedur ini sendiri di rumah
Sabtu, 5 November 2016 -
Sudah Gosok Gigi Tetapi Masih Bau Mulut, Ini Penyebabnya
Jika Anda merasa bau mulut setiap hari meskipun Anda menyikat gigi secara teratur, mungkin Anda memiliki masalah yang jauh lebih besar
Selasa, 1 November 2016 -
Ini lah Cara Tumbuhkan Gigi yang Terlanjur Ompong Hanya dalam 9 Minggu
Beberapa profesional di bidang kedokteran gigi sudah membuat banyak temuan, satu diantanya yang sangat mengejutkan
Sabtu, 29 Oktober 2016 -
Cangkul Petani Hantam Benda yang Keras dari Dalam Tanah, Saat Dilihat Benda Aneh ini yang Ia Temukan
Diceritakan Lian waktu itu dirinya sedang mencangkul dikebun sayur miliknya. Tiba tiba tanpa ia sengaja cangkul miliknya tersebut
Kamis, 20 Oktober 2016 -
Terungkap! Nabilah JKT48 Akui Senyumnya Manis Abis Gara-gara Ini
Nabilah Ratna Ayu Azalia, member grup JKT48, mengatakan dirinya tak percaya diri terhadap salah satu bagian tubuhnya, yakni
Rabu, 28 September 2016 -
Komedian Bedu Pakai Gigi Palsu dan Fico Fachriza Jadi Hansip di 'Daerah Terlarang'
Pada film ketiganya ini, Bedu berperan sebagai dirinya sendiri, hanya giginya dibuat 'tonggos' dengan menggunakan gigi palsu.
Selasa, 20 September 2016 -
Pakai Cara Ini, Gigi Kuning Jadi Putih Cemerlang Hanya dalam 3 Hari
Tetapi karena pola hidup yg tidak sehat serta kurangnya melindungi kebersihan gigi dengan cara teratur gigi jadi menguning serta kusam.
Senin, 22 Agustus 2016 -
Pola Olahraga Anda Pengaruhi Kesehatan Mulut
Anda mungkin berpikir bahwa seorang atlet pasti lebih sehat dibanding dengan kebanyakan orang pada umumnya
Minggu, 21 Agustus 2016 -
Putihkan Gigi Anda Hanya dalam 3 Menit dengan Cara Ini
Dan hasilnya sangat cepat, cukup tiga menit dalam sehari maka gigi putih bisa jadi impian Anda.
Sabtu, 6 Agustus 2016 -
Inilah Cara Hilangkan Karang Gigi di Rumah
Untuk menghilangkan karang gigi, kebanyakan orang akan pergi ke dokter, tetapi sebenarnya, Anda juga dapat melakukan prosedur ini sendiri di rumah
Jumat, 5 Agustus 2016 -
Mulut Sering Kering? Ini Penyebabnya
Mulut kering memang bisa menjadi gejala penyakit, tetapi yang membuat orang tidak suka dengan kondisi ini adalah rasa tidak nyaman
Sabtu, 9 Juli 2016