Gunakan Bahan Ini, Manjur Putihkan Gigi Dalam 2 Menit
Gigi putih bersih adalah dambaan setiap orang. Seseorang yang memiliki gigi putih dan bersih mampu meningkatkan kepercayaan dirinya ketika bertemu
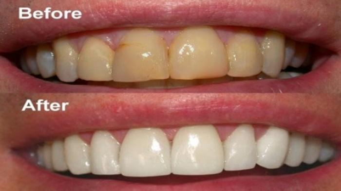
TRIBUNSUMSEL.COM -. Gigi merupakan salah satu bagian tubuh yang kadang sering diabaikan oleh pemiliknya.
Mungkin untuk sebagian orang beranggapan bahwa gigi hanyalah suatu bagian tubuh yang berfungsi untuk mengunyah makanan dan membantu proses berbicara, hingga tanpa disadari mereka telah mengabaikan penampilannya.
Selain berfungsi untuk fisiologis manusia, gigi juga berfungsi sebagai penunjang penampilan.
Gigi putih bersih adalah dambaan setiap orang. Seseorang yang memiliki gigi putih dan bersih mampu meningkatkan kepercayaan dirinya ketika bertemu dengan orang lain.
Namun untuk mendapatkan gigi yang putih tidaklah mudah. Sikat gigi dengan pasta gigi pemutih belum menjamin.
Sobat harus ketat menjaga kebersihannya dan membatasi konsumsi makanan atau minuman yang diduga dapat merubah warna gigi.
Berikuti ini ada tips yang bisa anda lakukan, tidak perlu mengeluarkan uang banyak untuk melakukan metode pengangkatan noda di gigi Anda.
Agar senyum indah semakin nampak, trik ini bisa Anda lakukan di rumah dengan dua bahan sederhana dan bila dilakukan dengan benar, gigi kuning anda akan memutih dalam waktu dua menit seperti dikutip dari Healthyfoodteam.com:
Masukan satu sendok makan baking soda ke dalam mangkuk. Kemudian potong lemon menjadi dua bagian dan peras untuk mendapatkan satu sendok makan sari buah lemon.
Setelah itu, Anda bisa memasukan cairan lemon tadi ke dalam baking soda dan aduk sampai bahan tercampur rata.
Jika sudah, oleskan campuran tersebut pada gigi Anda. Lakukan secara merata, lalu biarkan selama dua menit, kemudian bilas untuk melihat hasilnya.
Perlu diingat, metode ini tidak dianjurkan untuk diterapkan terlalu sering karena dapat merusak enamel gigi Anda. Selamat mencoba.
